Transparente Zahnschienen
für ein perfektes Lächeln
mit geraden Zähnen
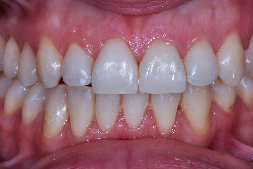
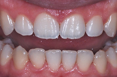
Sanfte Zahnbegradigung
» millimetergenaue Zahnbegradigung durch unauffällige Zahnschienen
» herausnehmbare Schienen sind nahezu unsichtbar
» schonende Zahnbegradigung ohne störende Metalldrähte
» keine Einschränkung beim Essen oder Sprechen
» kostenloser Beratungstermin bei unseren Zahnärzten
» genaue Analyse per 3D-Intraoralscanner
» Zahnschienen der weltweit bekannten Marke Invisalign
» schmerzreduzierte Behandlung
» regelmäßige Kontrolltermine in Potsdamer Zahnarztpraxis
» flexibles Finanzierungsmodell möglich
Bei Ihrem persönlichen Beratungstermin in unserer Potsdamer Zahnarztpraxis erfassen wir mithilfe des 3D-Scanners ein exaktes Bild Ihrer Ausgangssituation.
Gemeinsam erstellen wir den optimalen Behandlungsplan für Ihre Zahnbegradigung und beraten Sie ausführlich.
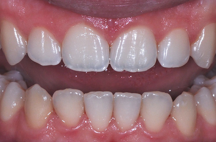
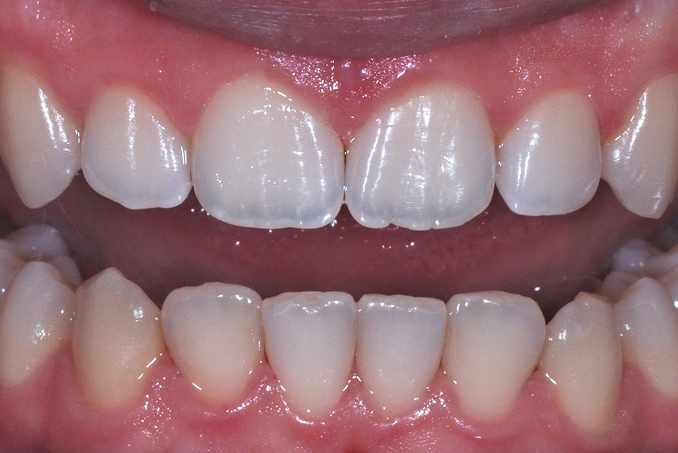
Die durchsichtigen Invisalign Zahnschienen werden für sie individuell angefertigt. Mit diesen transparenten
Alignern werden Ihre Zähne nach und nach in die gewünschte Position gebracht. Während der
gesamten Behandlungsdauer kontrollieren wir den Fortschritt bei regelmäßigen Terminen in unserer Praxis.
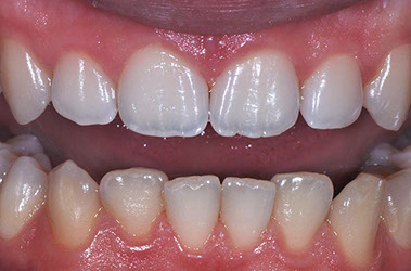
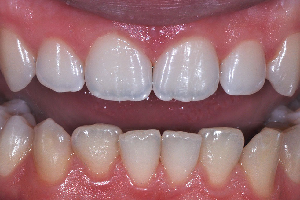
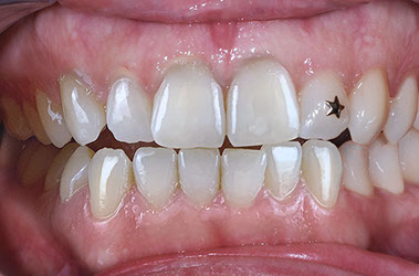
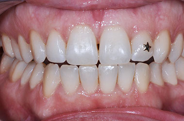
Im Durchschnitt erreichen Sie nach nur 4- 8 Monaten Ihr neues Traumlächeln! Nach dem erfolgreichen Abschluss Ihrer Zahnbegradigung empfehlen wir anschließend das Tragen eines Retainers, um den Behandlungserfolg langfristig zu erhalten.
<
>
Wie funktioniert die Zahnbegradigung mit
transparenten Schienen?
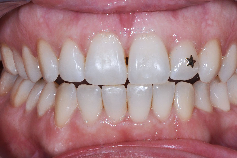
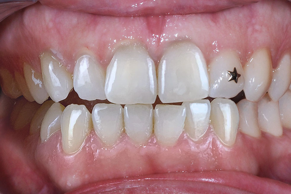
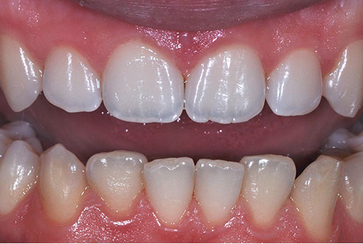
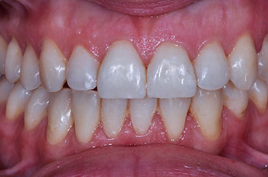
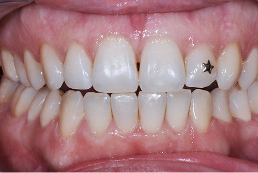
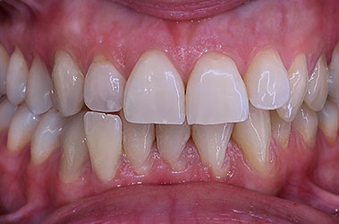
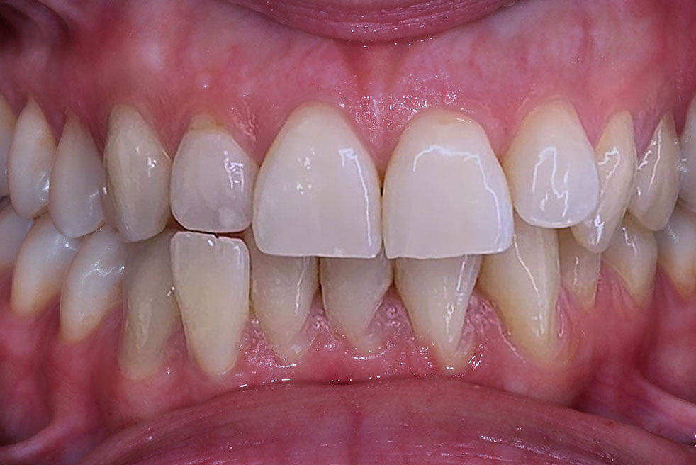
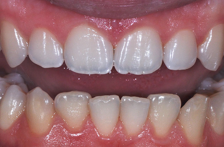
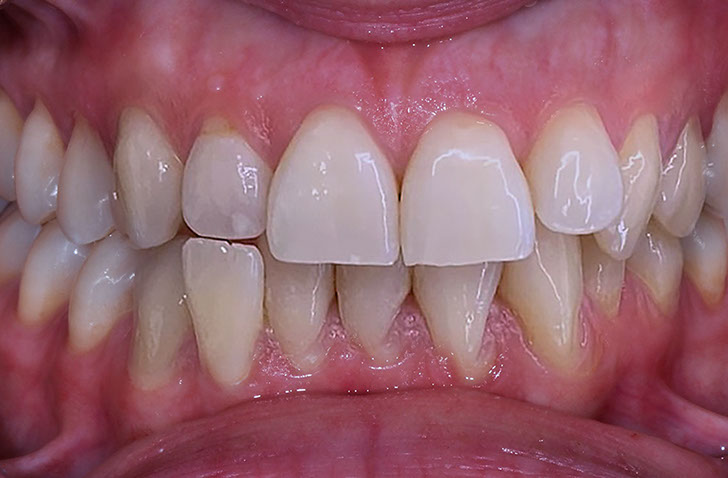
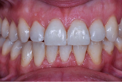
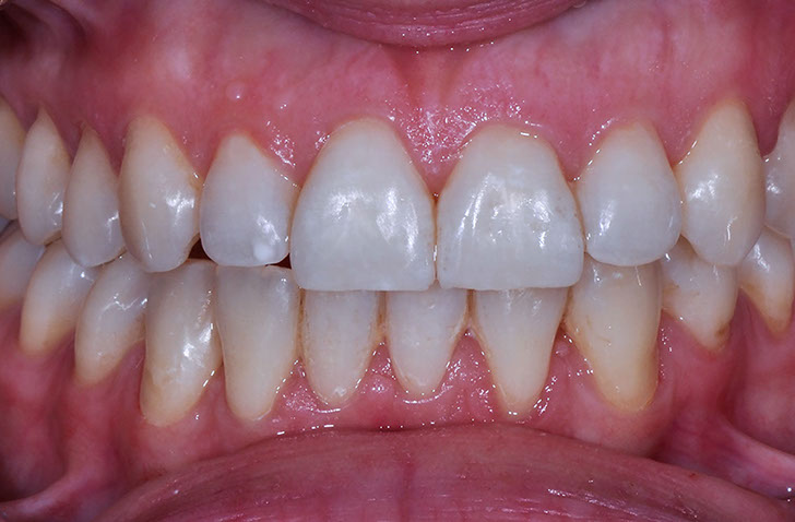
Vergessen Sie Ihre Befürchtungen von einer jahrelangen, schmerzhaften Behandlung mit einer festen Zahnspange! Viele wünschen sich im Erwachsenenalter aus kosmetischen oder medizinischen Gründen gerade Zähne, jedoch ohne unangenehme Einschränkungen. Dank der Methode mit Zahnschienen aus transparentem Kunststoff wird Ihre Zahnfehlstellung diskret und schonend korrigiert.
In unserer Zahnarztpraxis in Potsdam verwenden wir zur Zahnbegradigung die Technologie von Invisalign. Mit moderner 3D-Computertechnologie können wir anhand eines Scans Ihre aktuelle Zahnsituation ermitteln und den kompletten Behandlungsverlauf visualisieren: von der Ausgangsposition bis zur gewünschten Endposition der Zähne.
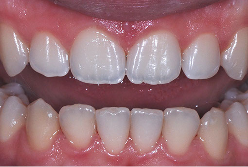
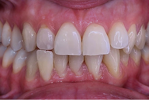
Anschließend wird eine Reihe von transparenten Zahnschienen (Aligner) individuell für Sie angefertigt. Die durchsichtigen Zahnschienen können Sie tagsüber und nachts anwenden, da sie angenehm zu tragen und für andere kaum sichtbar sind. Die Zahnbegradigung wird damit Schritt für Schritt eingeleitet.
Invisalign Schienen positionieren die Zähne durch genau platzierte und kontrollierte Bewegungen. Alle 1-2 Wochen wechseln Sie zum nächsten Aligner, sodass sich Ihre Zähne nach und nach zur vorgesehenen Endposition bewegen. Während der Zahnbegradigung haben Sie regelmäßige Termine in unserer Potsdamer Praxis, bei denen wir den Fortschritt kontrollieren und neue Aligner beauftragen. Wie lange Ihre Behandlung dauern wird, hängt von der Ausgangsposition Ihrer Zähne und den bei Ihnen vorliegenden spezifischen Anforderungen ab.
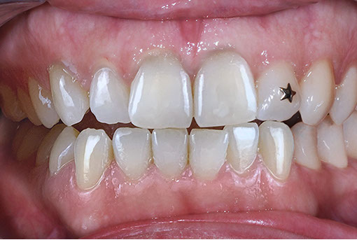
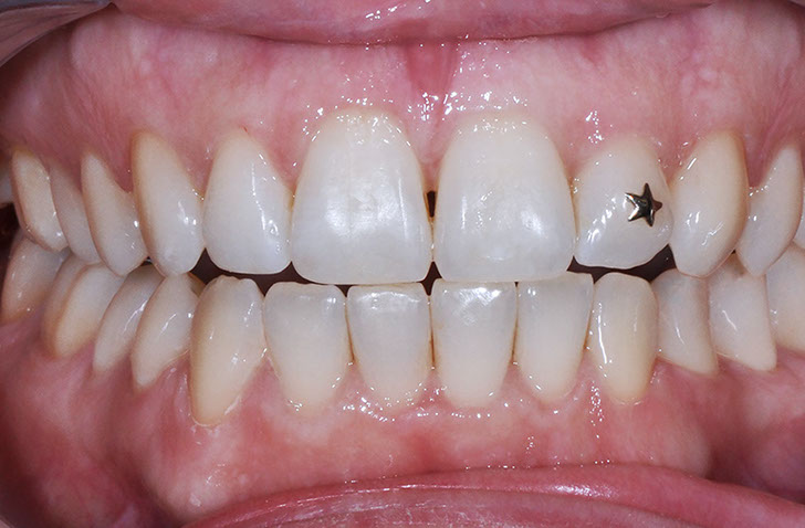
Invisalign ist die nahezu unsichtbare Methode zur Zahnbegradigung, mit der auch Sie das Lächeln erhalten können, das Sie sich schon immer gewünscht haben.
Invisalign Schienen verändern durch exakt definierte Kraft und Richtung die Stellung Ihrer Zähne. Alle 1-2 Wochen wechseln Sie zur nächsten Schiene, sodass sich Ihre Zähne nach und nach zur geplanten Endposition bewegen. Während der Zahnbegradigung haben Sie regelmäßige Termine in unserer Potsdamer Praxis, bei denen wir den Fortschritt kontrollieren und Ihnen die nächsten Schienen mitgeben. Wie lange Ihre Behandlung dauern wird, hängt von der Ausgangsposition Ihrer Zähne und den bei Ihnen vorliegenden spezifischen Anforderungen ab. Viele Fälle können innerhalb von 4-8 Monaten abgeschlossen werden.
Invisalign-Aligner sind nahezu unsichtbar. Womöglich fällt niemandem auf, dass Sie die transparenten Schienen tragen. Invisalign passt deshalb perfekt zu Ihren Lebensgewohnheiten und zum alltäglichen Umgang mit anderen Menschen.
Invisalign-Aligner sind herausnehmbar. Anders als bei festen Metallspangen können Sie während der Behandlung ganz flexibel alles essen und trinken, was Sie möchten. Dafür sowie für die Zahnreinigung nehmen Sie die Aligner einfach kurz heraus. Ihre Mundhygiene kommt somit nicht zu kurz, und Sie behalten Ihren frischen Atem.
Beim Invisalign-System gibt es im Unterschied zu herkömmlichen festen Zahnspangen keine Metallbrackets oder Drähte. In der Regel sind deshalb auch weniger Anpassungen durch uns erforderlich.
Bei Invisalign können Sie den geplanten Endzustand schon vor Therapiebeginn im virtuellen Modell und im Behandlungsplan sehen. Sie wissen also von Anfang an, wie Ihre Zähne später wahrscheinlich aussehen werden.
Die nahezu unsichtbaren Aligner bestehen aus einem stabilen thermoplastischen Material, welches für den medizinischen Einsatz zugelassen ist und speziell für das Invisalign-System entwickelt wurde.
Die Aligner sollten während der Behandlung ständig getragen werden – ausgenommen beim Essen und bei der Zahnpflege.
Sie sollten etwa alle vier bis sechs Wochen zu uns in die Praxis kommen, damit wir uns vergewissern können, dass die Behandlung planmäßig verläuft. Sie bekommen zu den Terminen jeweils die nächsten Aligner-Sets. In der Regel sind Kontrolltermine genauso häufig erforderlich wie bei herkömmlichen Zahnspangen; der Zeitaufwand pro Termin ist jedoch erheblich geringer, da Anpassungen an Drähten und Brackets entfallen. Die genauen Zeitabstände legen wir ausgehend von der bei Ihnen durchgeführten Behandlung fest.
Die Gesamtdauer hängt davon ab, wie komplex die Behandlung ist. Eine typische Behandlung ist nach einem Zeitraum zwischen 4-8 Monaten abgeschlossen. Bei Ihrer Erstberatung können wir Ihnen Genaueres dazu sagen.
Bei einigen Patienten kommt es am Anfang einer neuen Behandlungsstufe nach dem Einsetzen eines neuen Aligners vorübergehend (einige Tage lang) zu geringfügigem Unbehagen. Die betroffenen Patienten berichten meist von einem Druckgefühl – das ist normal. Es ist ein Zeichen dafür, dass die Aligner ordnungsgemäß funktionieren: Sie bringen Ihre Zähne schrittweise in die gewünschte Position. Das Unbehagen geht in der Regel nach wenigen Tagen vorüber.
Nein – anders als bei einer Behandlung mit herkömmlichen Drähten und Brackets können Sie während einer Invisalign-Behandlung alles essen und trinken, was Sie möchten, da Sie die Aligner zur Nahrungsaufnahme einfach herausnehmen. Sie müssen auf keine Ihrer Lieblingsspeisen verzichten, und auch Snacks zwischendurch sind kein Problem. Es ist wichtig, die Zähne nach jeder Mahlzeit zu putzen und mit Zahnseide zu reinigen, bevor Sie die Aligner wieder einsetzen. So erreichen Sie eine angemessene Mundhygiene.
Vom Kaugummikauen ist während des Tragens der Aligner abzuraten, da das Kaugummi an den Alignern festkleben kann. Sie sollten die Aligner immer herausnehmen, bevor Sie Speisen oder Snacks zu sich nehmen.
Bei den allermeisten Patienten wird die Aussprache nicht beeinträchtigt. Es gibt allerdings, wie beim Einsatz von herkömmlichen kieferorthopädischen Apparaturen, anfänglich eine Gewöhnungsphase in Reaktion auf den Fremdkörper im Mund.
Nach Möglichkeit sollte beim Tragen der Aligner nicht geraucht werden, da sich die Aligner sonst verfärben können.
Die Kosten hängen von der Komplexität des Falls und vom Verlauf der Behandlung ab. Eine genaue Auskunft für Ihren individuellen Behandlungsfall können wir Ihnen erst nach einer unverbindlichen Beratung geben. Im Allgemeinen liegt der Preis einer Invisalign-Behandlung zwischen 3.800 und 4.500 Euro. Je nach Ausprägung der Zahnfehlstellung sind Abweichungen möglich. In unserer Praxis unterstützen wir Sie mit einer individuellen Finanzierung bis zu 72 Monate – die Laufzeit und Raten legen Sie selbst fest.
Ja, Lücken zwischen Zähnen lassen sich mit einer Invisalign-Behandlung im Allgemeinen leicht schließen.
Viele Invisalign-Patienten haben früher schon einmal eine Zahnspange getragen. In der Regel lassen sich spätere Zahnverschiebungen (fachsprachlich als kieferorthopädische Rezidive bezeichnet) durch eine Invisalign-Behandlung korrigieren.
Invisalign-Anwender können einen Überbiss bei den allermeisten Erwachsenen und Jugendlichen behandeln.
Da Brücken mindestens zwei Zähne fest miteinander verbinden, bilden Sie einen erheblichen Widerstand gegenüber Zahnbewegungen. Wir können ermitteln, ob Brücken bei Ihrer Behandlung berücksichtigt werden müssen..
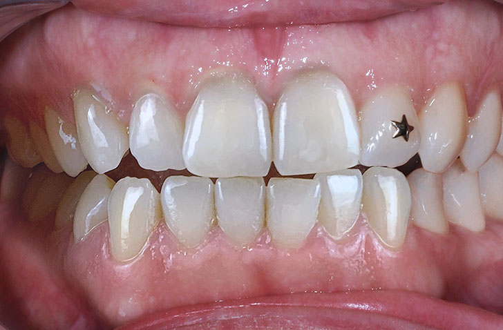
Überkronte Zähne sind im Zusammenhang mit einer Invisalign-Behandlung normalerweise nicht relevant. Manchmal werden allerdings kleine zahnfarbene Erhebungen – die sogenannten Attachments – aus Kompositmaterial am Zahn angebracht, um bestimmte Bewegungen zu unterstützen. Diese Attachments halten an Kronen weniger gut als am Zahnschmelz. Wenn Attachments eingesetzt werden sollen, muss die Position der Kronen sorgfältig geprüft werden.
Kiefergelenkserkrankungen können sich durch unterschiedliche Beschwerden bemerkbar machen. Einige der zugrunde liegenden Probleme werden durch kieferorthopädische Apparaturen und Behandlungen wie mit dem Invisalign-Verfahren unter Umständen verstärkt, andere Probleme können unverändert bleiben oder abgeschwächt werden. Wir überprüfen vor jeder Invisalign Therapie insbesondere mögliche Probleme der Kiefergelenke und des craniomandibulären Systems, um mögliche Problem zu vermeiden.
Es ist nach jeder kieferorthopädischen Behandlung wichtig, einen Retainer zu tragen, damit die Zähne stabil in ihrer neuen Position gehalten werden. Wenn Sie möchten, dass Ihre Zähne die ideale Position beibehalten, sollten Sie einen Retainer tragen. Oft kann der letzte Aligner vorübergehend als Retainer verwendet werden, bis eine Entscheidung zur Retentionsoption gefallen ist.
Am besten reinigen Sie die Aligner durch Bürsten und Abspülen mit lauwarmem Wasser sowie mit den Invisalign-Reinigungskristallen (Cleaning Crystals) oder speziellen Reinigungstabletten. Es ist wichtig, sich nach jeder Mahlzeit die Zähne zu putzen, bevor Sie die Aligner wieder einsetzen. So erreichen Sie eine angemessene Mundhygiene.
Bereits 1945 hat sich Dr. H. D. Kiesling ausgemalt, dass es mithilfe von moderner Technologie eines Tages möglich sein würde, mit einer Abfolge von Zahnpositionierern die Bewegungen zu erzeugen, die für eine umfassende kieferorthopädische Behandlung erforderlich sind. Align Technology hat diese Zukunftsvision Wirklichkeit werden lassen und bietet seit 1999 Invisalign-Schienen in Deutschland an.
Weltweit haben bereits über 8 Millionen Patienten eine Invisalign-Behandlung abgeschlossen. Die Zahl der Menschen, die dank Invisalign ein strahlenderes Lächeln haben, steigt täglich.
Vereinbaren Sie jetzt Ihren kostenlosen Beratungstermin
zur Zahnbegradigung in unserer Praxis in Potsdam!
BUENGER & MEIßNER
Zahnheilkunde
Georg-Hermann-Allee 26
14469 Potsdam
T
M
W
Mo – Do
Fr
Alle Kassen und Privat
08:00 – 18:00 Uhr
08:00 – 13:00 Uhr
WERDEN SIE EINER
VON 8 MIO. ZUFRIEDENEN
INVISALIGN PATIENTEN WELTWEIT!
Vereinbaren Sie jetzt Ihren
kostenlosen Beratungstermin
zur Zahnbegradigung in unserer
Praxis in Potsdam!
Sanfte Zahnbegradigung
» millimetergenaue Zahnbegradigung durch unauffällige Zahnschienen
» herausnehmbare Schienen sind
nahezu unsichtbar
» schonende Zahnbegradigung ohne störende Metalldrähte
» keine Einschränkung beim
Essen oder Sprechen
» kostenloser Beratungstermin
» genaue Analyse per
3D-Intraoralscanner
» Zahnschienen der weltweit
bekannten Marke Invisalign
» schmerzreduzierte Behandlung
» regelmäßige Kontrolltermine in Potsdamer Zahnarztpraxis
» flexibles Finanzierungsmodell
möglich
Vereinbaren Sie jetzt Ihren
kostenlosen Beratungstermin
zur Zahnbegradigung in
unserer Praxis in Potsdam!